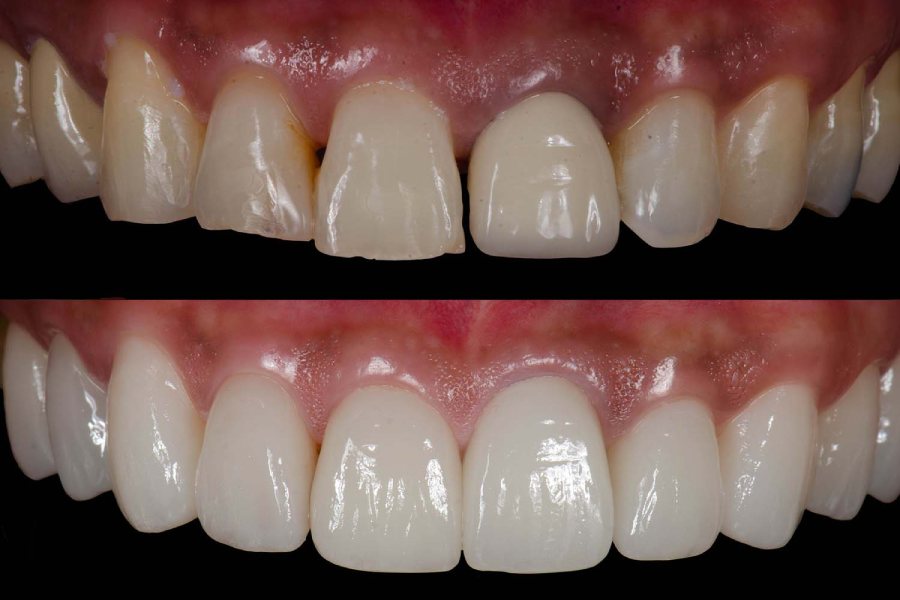
در دنیای امروز زیبایی دندانها و طرح لبخند برای بسیاری از افراد اهمیت زیادی پیدا کرده است. روشهای مختلفی برای بهبود ظاهر دندانها وجود دارد که یکی از محبوبترین و پرطرفدارترین آنها، لمینت دندان است؛ اما یکی از جدیدترین و کمتهاجمیترین انواع این درمان، لمینت بدون تراش است که امروزه در بسیاری از کلینیکهای دندانپزشکی معتبر مانند کلینیک نوتاش در اصفهان انجام میشود. این روش به شما این امکان را میدهد که بدون نیاز به تراش مینای دندان و با حفظ ساختار طبیعی آن، لبخندی زیبا و جذاب داشته باشید. لمینت بدون تراش (No-Prep Veneers) روشی است که در آن پوششهای سرامیکی نازک بر روی سطح دندانها نصب میشود و از این طریق، تغییرات ظاهری مدنظر از جمله رنگ، فرم و اندازه بر روی دندانها ایجاد میشود. در این مقاله به طور جامع به بررسی این روش، مراحل اجرای آن، مزایا و معایب، هزینه و دیگر نکات مهم خواهیم پرداخت تا شما بتوانید تصمیمی آگاهانه در این زمینه بگیرید.
آیا لمینت دندان بدون تراش ممکن است؟
پیش از آنکه به تعریف و جزئیات این روش بپردازیم، سوالی که بسیاری از بیماران مطرح میکنند این است که آیا واقعاً میتوان لمینت دندان را بدون تراش دندان انجام داد؟ پاسخ مثبت است! با این توضیح که شرایط بیمار، سلامت دندان و لثه و مهارت دندانپزشک در موفقیت این روش بسیار مهم خواهند بود. در تکنیک لمینت بدون تراش، ضخامت بسیار پایین پوستهها امکان میدهد که مینای دندان در اغلب موارد تراشیده نشود یا درنهایت به یک تراش بسیار جزئی نیاز داشته باشد. با این حال، این روش درمانی برای همه بیماران قابل استفاده نیست و پیش از درمان باید ارزیابی دقیقی از شرایط بیمار انجام شود. لذا، توصیه میکنیم برای این کار تنها به کلینیکهای معتبر و سطح بالا مانند نوتاش مراجعه کنید تا موفقیت درمان شما تضمین شود.لمینت بدون تراش چیست؟
روش لمینت بدون تراش یا لمینتهای مینیمال پِرِپ، به معنای چسباندن پوششهای بسیار نازک سرامیکی یا پرسلن بر سطح جلویی دندانها است؛ بدون اینکه تراش قابلتوجهی روی مینای دندان انجام شود. ضخامت این پوششها معمولاً بین حدود ۰.۳ تا ۰.۵ میلیمتر است که بسیار نازکتر از لمینتهای سنتی هستند. هدف اصلی این روش، حفظ حداکثری ساختار دندان طبیعی، کاهش تراش و آسیب و ارائه نتایجی با ظاهر طبیعیتر است. از آنجا که در بسیاری از موارد نیازی به بیحسی یا تراش گسترده وجود ندارد، تجربه درمان نیز برای بیمار بسیار راحتتر خواهد بود. لمینت بدون تراش در اصفهان این روزها طرفداران زیادی دارد و در کلینیک نوتاش، با بالاترین کیفیت و موفقیت ممکن انجام میشود.
مراحل ساخت و نصب لمینت بدون تراش
فرآیند انجام این روش در کلینیکهای معتبر معمولاً شامل مراحل زیر است:مشاوره و معاینه اولیه
دندانپزشک وضعیت دندانها و لثه شما را بررسی کرده و عکسها یا اسکن دیجیتال مورد نیاز را میگیرد تا متوجه شود که آیا این روش بر روی دندانهای شما قابل اجرا است یا خیر.طراحی لبخند و قالبگیری
اگر دندانها سالم باشند، قالبگیری انجام شده و اسکن دیجیتال تهیه میشود. سپس، رنگ و فرم لمینت بر اساس چهره، رنگ دندانهای مجاور و خواسته بیمار تعیین میشود تا در اختیار لابراتوار قرار بگیرد.ساخت لمینت در لابراتوار
قالب یا اسکن به لابراتوار ارسال میشود و پوستههای سرامیکی بسیار نازک ساخته میشوند. ضخامت این پوستهها معمولاً بین ۰.۳ تا ۰.۵ میلیمتر است.آمادهسازی سطح دندان (در حداقل) و نصب
دندانپزشک در این روش معمولاً نیازی به تراش مینای دندان ندارد و تنها ممکن است سطح مینای دندان بیمار پولیش شود. سپس، لمینتها با چسب مخصوص بر روی دندان چسبانده میشوند.کنترل نهایی و مراقبتهای پس از درمان
دندانپزشک قرینگی، زیبایی و تماس لمینت با دندان مجاور و لثه را پس از نصب بررسی میکند. سپس، توصیههای لازم را برای مراقبتهای بعدی به بیمار ارائه میدهد تا طول عمر بالای لمینتها تضمین شوند. به طور عمومی، تمام این مراحل ذکرشده در دو جلسه یا کمتر قابل انجام هستند.بیشتر بخوانید: لمینت بهتر است یا کامپوزیت
مزایای لمینت بدون تراش
روش لمینت بدون تراش دارای مزایای متعددی است که در ادامه به آنها اشاره میشود:- حفظ ساختار طبیعی دندان: در این روش مینای دندان تقریباً دستنخورده باقی میماند یا تنها تراش بسیار جزئی رخ میدهد که این باعث میشود ساختار دندان سالمتر بماند.
- عدم نیاز به بیحسی یا حداقل بیحسی: از آنجا که تراش عمده صورت نمیگیرد، بسیاری از بیماران فرآیند را بدون نیاز به بیحسی تجربه میکنند.
- تجربه درمان راحتتر و سریعتر: تعداد جلسات درمان در این روش کمتر است و به دوره نقاهت خاصی نیاز ندارد.
- ظاهر بسیار طبیعی: لمینت بدون تراش به علت ضخامت اندک و مواد باکیفیت، به حالت طبیعی دندانهای بیمار بسیار شبیه است و طبیعیترین ظاهر ممکن را دارد.
- قابلیت برگشتپذیری بیشتر: از آنجا که تراش مینای دندان بسیار کم یا صفر است، در بعضی موارد میتوان لمینت را برداشت و دوباره جایگزین کرد؛ البته این موضوع به شرایط بیمار بستگی خواهد داشت.
معایب لمینت بدون تراش
لمینت بدون تراش در کنار مزایای عالی خود، دارای محدودیتها و معایبی نیز هست که بیماران باید در تصمیمگیری مدنظر قرار دهند:- محدودیت در پوششدهی عیوب شدید: در صورتی که دندانها دارای پوسیدگی گسترده، تغییر رنگ شدید، ناهماهنگی بزرگ در فرم یا فاصله زیاد از هم باشند، این روش ممکن است نتیجه مطلوبی در پی نداشته باشد.
- احتمال دوام کمتر نسبت به لمینتهای سنتی: برخی مطالعات نشان دادهاند لمینتهایی که تراش دارند، اتصال محکمتری با دندان برقرار میکنند و در نتیجه دوام بیشتری خواهند داشت.
- لزوم بررسی دقیق شرایط بیمار و مهارت بالای دندانپزشک: از آنجا که این نوع لمینت بسیار نازک است، نصب آن توسط دندانپزشک به تجربه، مهارت و دقت بسیار بالایی نیاز دارد.
- هزینه بالاتر: ممکن است هزینه این نوع لمینت با توجه به متریال خاص و برندهای خارجی و وارداتی، بالاتر باشد.
طول عمر و ماندگاری لمینت بدون تراش
یکی از پرسشهای مهم بیماران این است که لمینت بدون تراش تا چه مدت قابل استفاده خواهد بود؟ برای پاسخ به این پرسش باید به موارد زیر اشاره کنیم:- به طور کلی، لمینتهای سرامیکی (اعم از با تراش یا بدون تراش) با مراقبت مناسب معمولاً بین ۱۰ تا ۱۵ سال دوام دارند.
- در شرایط بسیار مطلوب، این مدت ممکن است تا حدود ۲۰ سال نیز برسد.
- در مورد لمینت بدون تراش به طور خاص باید گفت اگر ساخت و نصب با کیفیت بالا انجام شود و مراقبتهای لازم رعایت شوند، انتظار میرود دوام مشابهی با لمینتهای معمولی داشته باشد.
- عواملی مانند کیفیت متریال، مهارت دندانپزشک، بهداشت دهان و دندان، عادات غذایی، دندانقروچه و شرایط لثه بر دوام این نوع لمینت تأثیرگذار هستند.
هزینه لمینت بدون تراش
موضوع هزینه نیز برای بسیاری از بیماران اهمیت دارد. هزینه لمینت بدون تراش سرامیکی معمولی برای هر دندان حدود ۷ میلیون تا ۱۰ میلیون تومان خواهد بود. هزینه لمینت بدون تراش نیز ببسته به عوامل مختلف ذکرشده، برای هر واحد بین ۸ تا ۱۲ میلیون تومان در نظر گرفته میشود. اگر متریال کارشده از برندهای وارداتی باشد، ممکن است این هزینه افزایش قابل توجهی برای بیمار داشته باشد. برای کسب اطلاعات دقیق و بهروز میتوانید با کلینیک نوتاش اصفهان در تماس باشید.مقایسه بین لمینت سنتی و بدون تراش (جدول)
درا دامه میخواهیم لمینت سنتی و بدون تراش را از جهات مختلف مورد بررسی قرار داده و مقایسه کنیم. مقایسه بین لمینت سنتی و بدون تراش به شرح جدول زیر است:| معیار | لمینت سنتی | لمینت بدون تراش |
| میزان تراش مینای دندان |
معمولاً ۰.۵ تا ۱ میلیمتر یا بیشتر تراش داده میشود |
معمولاً تراش بسیار اندک یا صفر؛ ضخامت پوسته بین ۰.۲ تا ۰.۵ میلیمتر |
| حفظ ساختار دندان طبیعی | تا حدی ساختار دندان تغییر میکند | ساختار دندان تا حد زیادی حفظ میشود |
| برگشتپذیری | معمولاً غیرقابل برگشت یا با سختی زیاد | در برخی موارد قابل برداشتن و جایگزینی است |
| دوام و ماندگاری | دوام بالاتر تا ۱۰–۱۵ سال یا بیشتر | ممکن است کمی دوام کمتری داشته باشد؛ در شرایط خوب همانند لمینت سنتی ۱۰ تا ۱۵ سال |
| مناسب برای چه کسانی | برای اصلاح عیوب جدیتر، تغییر رنگ شدید، دندانهای نامرتب یا دارای پوسیدگی | مناسب برای اصلاحات جزئی تا متوسط، دندانهای سالم، تمایل به روش کمتهاجمی |
| هزینه اولیه | بسته به تراش و متریال ممکن است کمتر یا بیشتر باشد؛ اما فرآیند کاملتری دارد | ممکن است به دلیل متریال خاص و برندهای وارداتی هزینه بیشتری داشته باشد؛ اما تراش کمتر است که شاید برخی هزینهها را کاهش دهد |
چه کسانی میتوانند از لمینت بدون تراش استفاده کنند؟
برای اینکه بتوانید از روش لمینت بدون تراش استفاده کنید، باید شرایط زیر را داشته باشید:- دندانهای سالم از نظر مینای دندان، لثه و بدون پوسیدگی گسترده
- دندانهایی با تغییر رنگ سطحی یا متوسط، نه رنگدانههای بسیار شدید
- فاصلههای کوچک تا متوسط بین دندانها یا دندانهایی که فرم آنها نیاز به اصلاح کمی دارد
- فردی که تمایل به روش کمتهاجمی دارد و میخواهد مینای دندانش حفظ شود
چه کسانی نمیتوانند از لمینت بدون تراش استفاده کنند؟
برخی شرایط وجود دارد که ممکن است فرد مناسب این روش نباشد. اگر در دسته افراد زیر هستید، به احتمال بسیار زیاد نمیتوانید از مزایای روش لمینت بدون تراش بهرهمند شوید:- دندانهایی با پوسیدگی گسترده یا ساختار ضعیف مینای دندان
- افراد با دندانقروچه شدید یا عادات فشردن دندان که فشار زیادی به لمینت وارد میکنند؛ مگر آنکه گارد مخصوص استفاده شود
- دندانهایی با تغییر رنگ شدید یا دندانهایی که به شدت نامرتب هستند؛ به طوری که روش کمتهاجمی نتواند اصلاح کافی و مدنظر را انجام دهد
- لثههای دارای بیماری فعال یا مشکلاتی در بافتهای پشتیبان دندان که به درمان قبل از روکش نیاز دارند







